Making Patient-Specific Surgery Faster, Smarter, and Scalable
Bridging the SCALABILITY Gap
The path to delivering patient-specific solutions at scale is often limited by manual workflows, fragmented tools, and resource constraints. Axial3D replaces labor-intensive processes with a cloud-native platform built to automate, standardize, and scale.
Explore how Axial3D integrates into your specific clinical and commercial workflow.

Optimize Joint, Spine, and Trauma portfolios.
- Automated Pre-Surgical Planning & Surgeon Sign-Off
- Rapid Generation of PSI (Guides) and Custom Implants
- Templating OTS Solutions at Scale
- Robotics & Navigation Data Preparation

Precision for Structural Heart, Vascular, and Congenital Cases
- Anatomical Analysis for Device Sizing and Fit
- Patient-Specific Procedural Planning & Access Strategy
- Interactive 3D Case Review and Digital Sign-Off
- Clinical Trial Support & Standardized 3D Data

Power your robotic platform with accurate, patient-specific 3D data.
- High-Fidelity Anatomical Segmentation for Robotic Integration
- Navigation and Path Planning Maps
- Multi-Anatomy Registration Support

patient-specific workflows for soft tissue modeling, planning, and procedural guidance.
- AI-Powered General Surgery Segmentation & Modeling
- Tumor, Organ, and Vascular Structure Visualization
- Pre-Operative Planning for Complex Anatomies
- Standardized 3D Data for Clinical and R&D Workflows

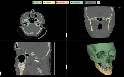
Support your patient-specific CMF portfolio with reliable 3D anatomical data.
- Anatomical Modeling for Mandible, Maxilla, Orbital & Cranial Reconstruction
- Rapid Planning & Custom Implant Workflows
- Scalable 3D Data for Clinical, Regulatory & Commercial Programs
Why Leading Medtech Companies
Choose Axial3D
Cloud-Based Architecture
Connect anywhere and facilitate scalable infrastructure, ensuring efficient resource allocation under increased demand.
AI-Powered Automation
Enhance efficiency and reduce manual work, making it easier to handle a growing volume of data while decreasing time to patient.
Tailored Workflows and Tools
Customizable to your application, ensuring seamless integration with your workflow management platform.
Trusted Source
Fully HIPAA and GDPR compliant, ISO 13485 and ISO 27001 Certified, FDA Cleared (for INSIGHT)
FEATURED WEBINAR
Driving the Evolution of Patient Specific Care
Explore how technology is transforming orthopedics in our on-demand webinar, Driving the Next Evolution in Patient-Specific Solutions. Industry leaders discuss the current state of patient-specific care and the role of 3D solutions, AI, and advanced manufacturing in delivering personalized surgical tools, devices, and navigation systems.